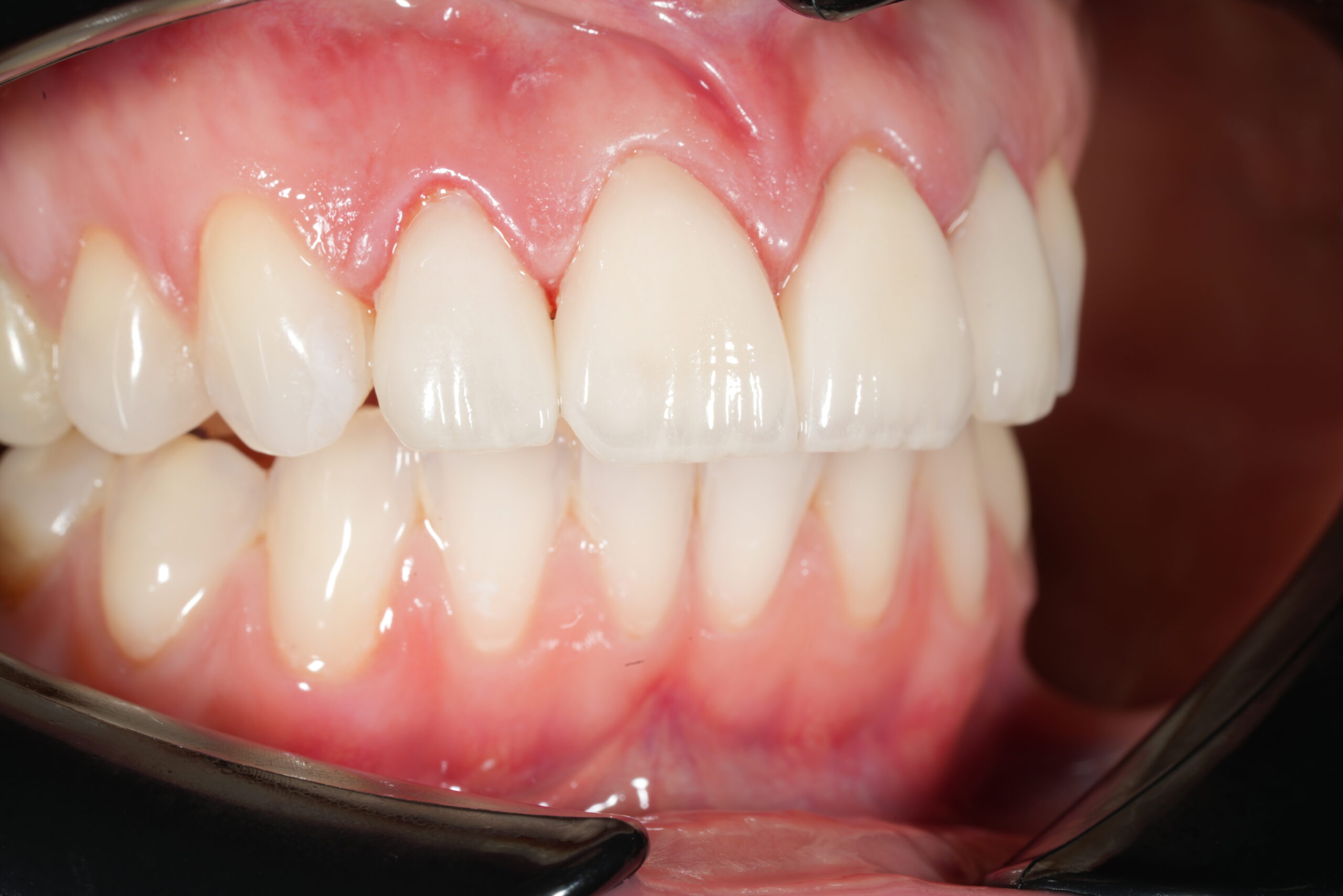
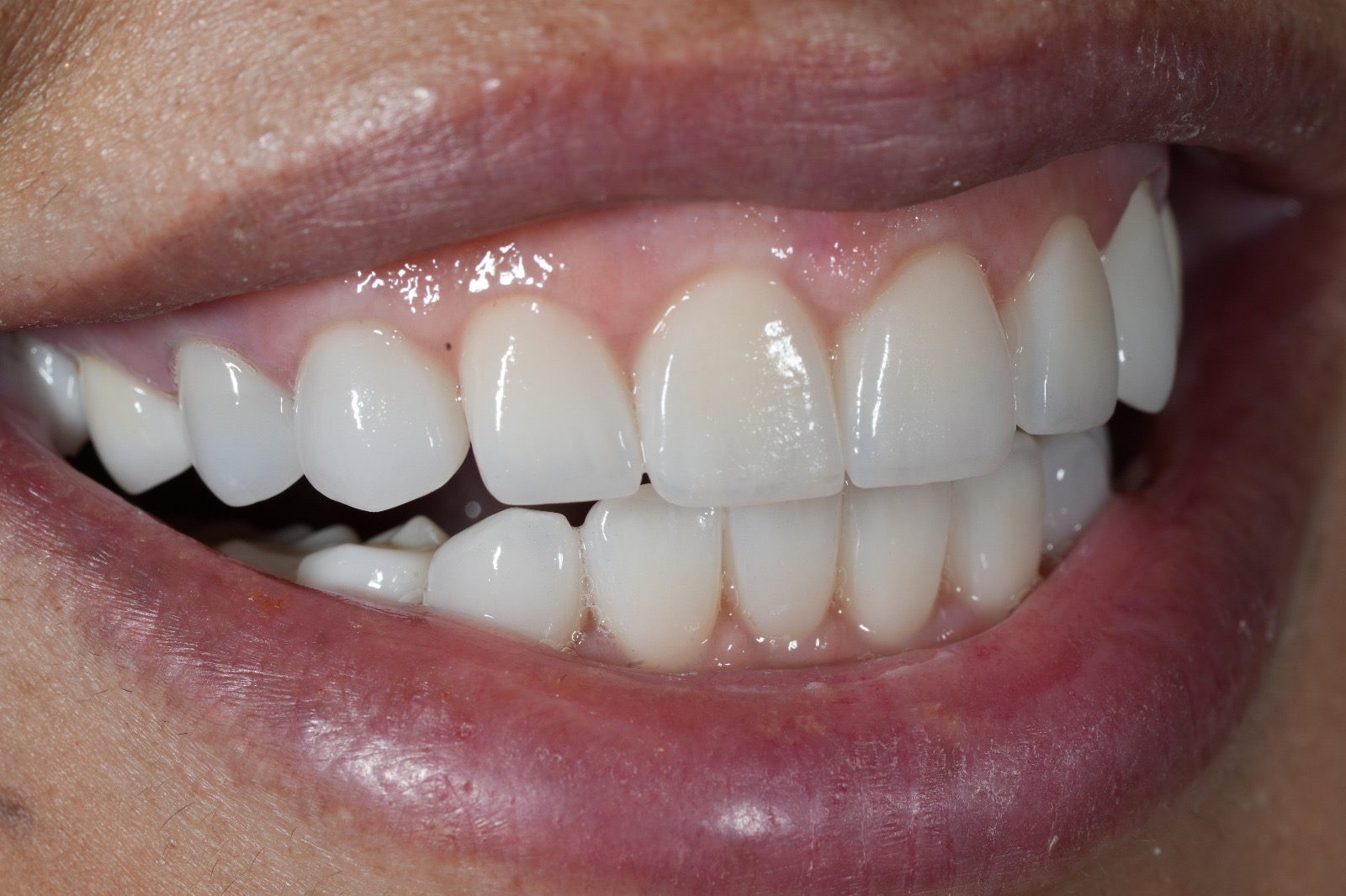
Rezultate

La Dental Clinic Herăstrău, fiecare zâmbet spune o poveste. Explorează cazurile noastre de succes și vezi cum transformăm încrederea prin rezultate vizibile și durabile.

EN »
Programează-te

Pentru a vă asigura o programare rapidă sau pentru orice alte informații referitoare la serviciile noastre, puteți completa formularul de mai jos. Echipa noastră va reveni cu un răspuns în cel mai scurt timp posibil.

De asemenea, vă puteți programa și prin următoarele metode: